تقوم السلطات الأسترالية بعزل مدينة سيدني عن بقية البلاد مع تفشي "كوفيد-19" من الشواطئ الشمالية إلى داخل المدينة،
أعلنت الرابطة العالمية للاعبي التنس المحترفين اليوم الخميس عن أجندة لموسم 2021 من منافسات المحترفين
رحبت أستراليا بقرار المحكمة العليا الإسرائيلية بالموافقة على تسليم مديرة سابقة لمدرسة يهودية في "ملبورن" بأستراليا
رفضت المحكمة العليا الإسرائيلية اليوم الثلاثاء طعنا قدمته مديرة سابقة لمدرسة في أستراليا متهمة بالاعتداء الجنسي على طالبات لتفادي تسليمها.
اجتاحت أمطار غزيرة ورياح عاتية وأمواج شديدة ساحل شمال شرق أستراليا لليوم الخامس على التوالي اليوم الثلاثاء فأجبرت السلطات على عمليات إجلاء للسكان على نطاق واسع.
قالت سفارة الصين في أستراليا إن السياسيين هناك "أساءوا تفسير" تغريدة تظهر صورة معدلة رقميا لجندي أسترالي يضع سكينا ملطخا بالدماء على حلق طفل أفغاني
قال وزير التجارة الاسترالي سيمون برمنجهام اليوم الأحد إنه من الممكن أن تلجأ استراليا لمنظمة
قال رئيس الوزراء الأسترالي سكوت موريسون اليوم السبت إن النتائج التي توصل إليها تقرير
دعا رئيس وزراء أستراليا مواطنيه إلى الاستعداد لـ"حقائق قاسية"
ارتفعت حصيلة الإصابات المؤكدة بفيروس كورونا المستجد "كوفيدـ19" في أستراليا إلى 27675 حالة حتى الساعة 0730 صباح اليوم الخميس،
أعلنت ولاية فيكتوريا الأسترالية، أنها لم تسجل أي إصابات أو وفيات جديدة بفيروس كورونا لليوم الـ12 على التوالي.
استقر عدد حالات الإصابة المؤكدة بفيروس كورونا في أستراليا عند 27 ألفا و652 إصابة حتى مساء اليوم السبت.
ذكرت وسائل إعلام بأستراليا، أن رجلاً يدعى "أنتون نجوين" يقيم فى ولاية كوينزلاند بمدينة بريزبين، في شمال شرق أستراليا تعرض
عبرت الحكومة الأسترالية عن أستنكارها مجددا، مطالبة قطر بتقديم إجابات، بعد أن أجبرت الخطوط القطرية مجموعة من الأستراليات على النزول من طائرة لتتم تعريتهم وتفتيشهم بشكل كامل .
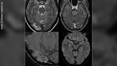
اكتشف الأطباء في استراليا وجود يرقات ديدان في دماغ أمراة، تبلغ من العمر حوالي 25 عاماً، وقد أحتلت الدودة الشريطية مكاناً في دماغ المرأة .