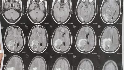
نجاح جراحة نادرة لوحمة دموية بالمخ بمستشفى العصبية والنفسية بجامعة أسيوط
في إنجاز جديد يضاف إلى سلسلة الإنجازات الطبية التي تحققها مستشفيات جامعة أسيوط، نجح فريق طبي بمستشفى الأمراض العصبية والنفسية وجراحة المخ والأعصاب في إجراء عملية جراحية نادرة لمريضة تعاني من وحمة دموية كبيرة بالمخ، تحت رعاية الدكتور أحمد المنشاوي رئيس الجامعة، والدكتور علاء عطية عميد كلية الطب ورئيس