نجاح جراحة نادرة لوحمة دموية بالمخ بمستشفى العصبية والنفسية بجامعة أسيوط
في إنجاز جديد يضاف إلى سلسلة الإنجازات الطبية التي تحققها مستشفيات جامعة أسيوط، نجح فريق طبي بمستشفى الأمراض العصبية والنفسية وجراحة المخ والأعصاب في إجراء عملية جراحية نادرة لمريضة تعاني من وحمة دموية كبيرة بالمخ، تحت رعاية الدكتور أحمد المنشاوي رئيس الجامعة، والدكتور علاء عطية عميد كلية الطب ورئيس مجلس إدارة المستشفيات، والدكتور إيهاب فوزي المدير التنفيذي للمستشفيات، والدكتور محمد عبد الباسط خلاف مدير مستشفى الأمراض العصبية والنفسية وجراحة المخ والأعصاب.
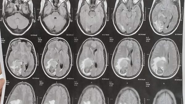
أجرى الفريق الطبي بنجاح جراحة لمريضة عمرها 28 عاما تعاني من صداع مستمر، وبمناظرة الأشعات تبين وجود وحمة دموية كبيرة نافذة ضاغطة على مركز الحركة، وعلى الفور تشكل قام الفريق الطبي بقيادة الدكتور محمد عبد الباسط خلاف رئيس قسم جراحة المخ والأعصاب ومدير المستشفى، يعاونه الدكتور محمد سيد عبد العال مدرس التخدير والعناية المركزة، والطبيب مصطفى كاشف مدرس مساعد جراحة المخ والأعصاب، وتم إجراء الجراحة و استئصال كامل للوحمة الدموية، بواسطة الميكروسكوب الجراحي وجهاز الأشعة التليفزيونية على المخ مع الحفاظ على جميع المراكز الحساسة بالمخ.
الجدير بالذكر أن الدكتور محمد عبد الباسط خلاف هو مؤسس وحدة جراحة الشرايين وأوردة المخ بقسم جراحة المخ والأعصاب بجامعة أسيوط، ويقوم بالتدريب والإشراف على أفراد الوحدة لإجراء مثل هذه الجراحات النادرة والمعقدة.
