أطباء يكتشفون وجود يرقات دودة شريطية في دماغ امرأة شابة
الأحد 04/أكتوبر/2020 - 03:33 م
اكتشف الأطباء في استراليا وجود يرقات ديدان في دماغ أمراة، تبلغ من العمر حوالي 25 عاماً، وقد أحتلت الدودة الشريطية مكاناً في دماغ المرأة وسببت لها صداعا شديدا متواصلا أستمر أسبوع .
وأوضحت الدراسات الطبية أن هذة المرأة تعد أول حالة محلية في أستراليا، حيث كان العديد من الحالات السابقة لمهاجرين أو مقيمين عائدين من خارج استراليا .

أشتكت المرأة من صداع يحدث مرتين أو ثلاثة مرات كل شهر، ويختفي الصداع عند أستخدام أدوية صداع، وأستمر الصداع في المرة الأخيرة لمدة أسبوع بجانب أعراض بصرية شديدة.
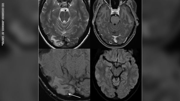
وبعد فحص كبير من الأطباء، وبأستخدام جلسة تصوير بالرنين المغناطيسي لدماغها، أعتقدوا وجود ورم، وعند إقامة عملية لأزالة الورم أكتشفوا أنه كيس مليء بيرقات دودة شريطية.
ويعانوا بعض الأشخاص من هذا المرض الذي يسمي " داء الكيسات المذنبة العصبي" كما أن معظم الديدان تعيش في أمعاء الأنسان، ويُعد أفضل طريقة للحماية من الإصابة بعدوى، يجب الحرص على طهي اللحوم في درجات حرارة آمنة، وغسل اليدين قبل تناول الطعام، وتناول الطعام الذي تستطيع التأكد من طهيه في ظروف صحية.