جامعة أسيوط تعلن نجاح جراحة إزالة ورم من عظمة الآلية ونقل الجزء العلوي من عظمة الفخذ
نجح فريق طبي من قسم جراحة العظام بمستشفى أسيوط الجامعي، في إجراء أول جراحة من نوعها؛ لاستئصال ورم من عظمة الآلية، ومفصل الحوض؛ لفتاة تبلغ من العمر الخامسة عشر ، وتركيب مفصل صناعي كامل للحوض؛ مما يمثل إضافة جديدة إلى سجل نجاحات مستشفيات جامعة أسيوط المشهود لها، وتميُّز كوادرها الطبية.
جامعة أسيوط تعلن نجاح جراحة إزالة ورم من عظمة الآلية ونقل الجزء العلوي من عظمة الفخذ

وأشاد الدكتور أحمد المنشاوي رئيس جامعة أسيوط، بالفريق الطبي؛ لنجاحه في إجراء العملية الجراحية الحرجة، والحفاظ على حياة المريضة، كما أشاد بكفاءة الفرق والكوادر الطبية بمستشفيات جامعة أسيوط، مؤكدًا حرص الجامعة على رفع كفاءة الخدمات الطبية المُقدمة بمستشفياتها، وتقديم الخدمات العلاجية للمرضى على أحسن مستوى، وتقليل قوائم الانتظار، والعناية بمرضى حالات الطوارئ، ورفع مستوى الإجراءات الاحترازية، ومكافحة العدوى.

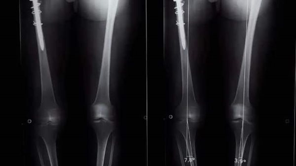
من جانبه، قال الدكتور علاء عطية عميد كلية طب أسيوط ورئيس مجلس إدارة المستشفيات الجامعية: إن العملية الجراحية التي تم إجراؤها كانت على جانب كبير من الخطورة، مبيناً أنه تم إجراء عملية إزالة للورم، واستئصال العظم المصاب بالسرطان، ونقل الجزء العلوي من عظمة الفخذ؛ لتحل محل عظمة الآلية.
وأشار الدكتور إيهاب فوزي المدير التنفيذي للمستشفيات الجامعية، أن مستشفيات جامعة أسيوط تعمل على تقديم الخدمات العلاجية بجميع مستشفياتها على أعلى مستوى، في إطار خطتها التطويرية، مشيراً إلى أن هذا النوع من العمليات يعد إحدى ثمار تطوير منظومة الخدمات الطبية والصحية التي قامت بها إدارة الجامعة.

جدير بالذكر، أن الطاقم الطبي الذي نجح في إجراء العملية الجراحية بتميز بكفاءة طبية عالية، والذي ضم فريقًا من تخصص وحدة الجراحات الميكروسكوبية برئاسة الدكتور طارق الجمال، والدكتور عمرو السيد، ووحدة المفاصل الصناعية برئاسة الدكتور أحمد عبد العال النشار، والدكتور ياسر إمام خليفة ، وتحت إشراف قسم جراحة العظام بجامعة أسيوط برئاسة الدكتور محمد الشرقاوي ، وبقيادة الدكتور عمرو السيد علي أستاذ جراحة العظام، والدكتور محمد مهران أستاذ جراحة العظام المساعد بجامعة أسيوط.
وأوضح الدكتور عمرو السيد علي أستاذ جراحة العظام، واستشاري الجراحات الميكروسكوبية بجامعة أسيوط ، أن المريضة تبلغ من العمر 15 عامًا ، وكانت تعاني من وجود ورم في عظمة الآلية، ومفصل الحوض؛ مشيرًا إلى إجراء العملية الجراحية على مرحلتين في إطار زمني 3 شهور ؛ لتجنب البتر؛ حيث تم في المرحلة الأولي إزالة الورم من عظمة الآلية، ونقل الجزء العلوي من عظمة الفخذ ؛ لتحل محل عظمة الآلية.
وأوضح الدكتور محمد مهران أستاذ جراحة العظام المساعد، واستشاري جراحات تغيير المفاصل الصناعية بجامعة أسيوط، أنه تم- بعد إجراء الفحوصات الطبية- تركيب مفصل صناعي كامل ذي مواصفات خاصة للحوض، وذلك دون اللجوء لتثبيت المفصل، ولتجنب البتر لهذا الطرف؛ مشيرًا إلى نجاح العملية، واستقرار الحالة الصحية للمريضة، وتمت متابعتها؛ لحين عودة حركة المريضة لصورتها الطبيعية، ومشيرا في الوقت نفسه، أنه تم نشر العملية الجراحية عالميًا: في مجلة علمية متخصصة للحالات الصعبة؛ بمساعدة الدكتور أحمد عادل خليفة مدرس جراحة العظام بكلية طب قنا- جامعة جنوب الوادي.